+13 Does Pregnancy Cause Bleeding Gums Ideas

+13 Does Pregnancy Cause Bleeding Gums Ideas

+13 Does Pregnancy Cause Bleeding Gums Ideas
Wednesday, February 15, 2023

+13 Does Pregnancy Cause Bleeding Gums Ideas. Pregnant women are 40% more likely to have gum disease than others. Pregnancy microbiome shifts over the three trimester periods.

Bleeding Gums why does this happen? ⋆ Dental House
Bleeding Gums why does this happen? ⋆ Dental House from dentalhouse.ie

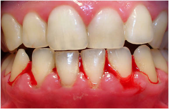
Your gums may be more swollen than usual. Pregnancy gingivitis is caused by the hormonal changes that increase the blood flow to the gum tissue and cause your gums to be more sensitive, irritable, and swollen. Since there is a greater amount of plaque that forms on the teeth and gums of pregnant people, they have a higher chance of developing gum disease and oth er dental problems.

While Bleeding Gums Won’t Necessarily Affect Your Growing Baby, It’s Important To Check In With Your Dentist.


When you are pregnant, the amount of blood in the body increases, which causes the mucous membranes to swell. This is also called pregnancy gingivitis or gum disease. The bleeding, sore gums are a nuisance and are uncomfortable.

Here Are The Main Principles Of Good Oral Hygiene:


Pregnancy microbiome shifts over the three trimester periods. The first possible cause of gum bleeding in pregnant women is considered to be the restructuring of the hormonal balance and the redistribution of metabolic processes. Placental abruption (when the placenta — which supplies nutrients and oxygen to the baby — separates from.

There Are Generally Two Theories That Explain Why Pregnant Woman Experience Bleeding Gums.


However it happens to develop during pregnancy when hormones make your gums more sensitive to bacteria. Try using a toothbrush with soft bristles. Can gum bleeding or gum disease in pregnancy cause harm to your baby?

But Dentists Say That Pregnancy Gingivitis Could Cause Issues For Some People.


A lot of side effects of pregnancy typically come to an end after the baby is born. This may also cause bleeding, especially when you brush your teeth. Hormonal changes during pregnancy can make your gums more vulnerable to plaque, leading to inflammation and bleeding.

Hormones Are The Likeliest Culprit.


Find out more about treating gum. Bleeding gums is a normal occurrence during your pregnancy. The hormonal changes make your gums more sensitive to bacteria found in the plague, and thus they become inflamed.


+13 Does Pregnancy Cause Bleeding Gums Ideas
4/ 5
Oleh